General Electric представила технологию 4D-УЗИ
16.07.15
Новая технология, разработанная специалистами компании General Electric, позволит получать объемные изображения внутренних органов в режиме реального времени. В отличие от использованных ранее методик, картина воссоздается не послойно – органы сразу изображаются трехмерными, благодаря чему в процессе исследования можно наблюдать за их движением.
В основе диагностического оборудования – технология, аналогичная той, что используется сонарами подводных лодок. Определение формы органов осуществляется с помощью ультразвука: передатчик посылает волны высокой частоты, а компьютер улавливает эхо от них, обрабатывает информацию и создает изображения препятствий, встречаемых волнами на своем пути.
Чтобы повысить результаты диагностики, инженеры General Electric также создали программу cSound. Именно в ней производится обработка данных, полученных в ходе ультразвукового исследования, и выполняется построение трехмерных изображений органов. Программное обеспечение позволяет анализировать около 5 ГБ данных в секунду.
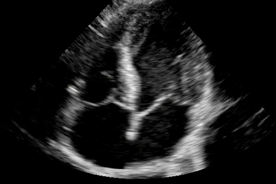
Технология уже внедрена на практике: она используется для диагностики сердечно-сосудистой системы и напоминает УЗИ, которое делается во время беременности. Однако в алгоритмах обработки изображения в 3D-УЗИ и инновационном 4D-УЗИ имеются существенные различия. Так, будущим родителям достаточно увидеть гладкую кожу младенца; кардиологи же и другие специалисты стремятся разглядеть на экране мельчайшие неровности тканей, поэтому в cSound полученные изображения штрихуются по-другому.
Инновация позволяет рассмотреть даже такие детали, как влияние на кровоток тромбов в артериях, а также максимально точно представить, как работает сердечно-сосудистая система, если в функционировании сердечного клапана наблюдаются проблемы. Так как в процессе диагностики организм не подвергается воздействию радиоактивного излучения, ограничений частоты и продолжительности его использования практически нет.
Не пропустите интересное!
Підписывайтесь на наши каналы и читайте анонсы хай-тек новостей, тестов и обзоров в удобном формате!
Лучшие смарт-часы для спорта в 2025 году
Сравним три интересных представителя спортивных смарт-часов — Samsung Galaxy Watch 7 Ultra, Garmin Instinct 3 и Amazfit T-Rex 3 Pro
Топ игровых клавиатур – рейтинг флагманов механического гейминга
В этом обзоре мы рассмотрим четыре премиальных механических клавиатуры, которые позиционируются Asus, Razer, Logitech и SteelSeries как лучшие модели
В Steam появятся Андроид-игры Valve Андроид
Valve ориентирует новую возможность, прежде всего, на студии, работающие над VR-проектами для Android
OpenAI представила GPT-5.1 — добавлены варианты ответа быстрый или умный искусственный интеллект обновление
OpenAI добавила в Chat GPT самостоятельно выбирающий режим Auto, какое ответвление применить к каждому запросу




